Case of a 36 yr old male with Acute Pancreatitis with Alcohol Dependence Syndrome

 This is an E logbook to discuss our patient's de-identified health data shared after taking his/her/guardian's signed informed consent. Here, we discuss our individual patient's problems through series of inputs from an available global online community of experts with an aim to solve those patient's clinical problems with collective current best evidence-based inputs. This E-logbook also reflects my patient-centered online portfolio and your valuable inputs in the comments are welcome.

   I have been given this case to solve in an attempt to understand the topic of " Patient clinical data analysis" to develop my competency in reading and comprehending clinical data including history, clinical findings, investigations, and come up with a  diagnosis and treatment plan.


CASE PRESENTATION:

A 36 year old driver by occupation came to the OPD with :

CHIEF COMPLAINT:

Pain in the epigastric region since 9 days 

HISTORY OF PRESENTING ILLNESS:

The patient was apparently asymptomatic 9 days back then he developed pain in the epigastric region which was sudden in onset, gradually progressive,dragging type, non-radiating , aggrevated on sleeping in lateral position relieved on taking medications. 

Patient complains of abdominal tightness and belching (2-3times/ day) 

Not associated with nausea, vomitings. 

On 31st he consumed alcohol heavily,next morning he had severe epigastric pain. He went to a private hospital for treatment. He was given medications. 

Then he came to the present hospital

He had fever with chills and rigor, SOB ( grade 2) and constipation when he presented to the hospital. 

PAST HISTORY:

Patient had similar complains 6 months back . 

Not a K/C/O Hypertension, Diabetes, asthma, CVD, TB. 

No history of previous surgery

No H/O gall stones

PERSONAL HISTORY:

Diet: Mixed

Appetite: Decreased

Sleep: Adequate

Bowel and bladder : Regular

Addictions:

Alcohol consumption since 7 years (150 ml/ alternate day) 

Since 6 months 180ml/day ( Royal Stag) 

Occasional toddy drinker

No smoking or tobacco chewing


FAMILY HISTORY : Insignificant

GENERAL EXAMINATION:

Patient is conscious, coherent, cooperative and well- oriented to time, place and person. 

Patient was examined after obtaining a signed informed consent. 

No pallor, icterus, cyanosis, clubbing, edema, lymphadenopathy. 

Vitals:

Temperature: Afebrile

BP: 100/70 mmHg

Pulse rate: 97bpm

Respiratory Rate: 22cpm

SpO2: 98% on room air


SYSTEMIC EXAMINATION:

CVS: S1 S2 heard, no murmurs

RS: BAE +, NVBS heard

CNS : NAD

PER ABDOMEN:

Inspection : Abdomen is slightly distended

Position of umbilicus : Normal 

No visible pulsations, visible peristalsis

No striae, scars

Palpation

No local rise of temperature 

Tenderness in the epigastric region

No guarding and rigidity

Cullen's sign, Grey Turner's sign and Fox's sign: Negative

Liver, spleen - Not palpable

Percussion : Resonant note heard

No shifting dullness / fluid thrill elicited

Auscultation : Bowel sounds heard





LAB INVESTIGATIONS :

HEMOGRAM:


RENAL FUNCTION TEST:


CUE:


LFT :

TB : 4.19
DB: 1.83
AST : 88
ALT: 34
ALP: 165
TP: 64
ALB: 3.8
A/G : 1.46

Sr. AMYLASE : 223
Sr. LIPASE : 86.1

USG Report :



2D ECHO:



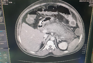
CT ABDOMEN:
 








ECG:




PROVISIONAL DIAGNOSIS:

Acute pancreatitis with alcohol dependence syndrome


TREATMENT :

1. IV NS and RL and DNS  @ 50 ml /hr
2. INJ . PANTOP 40 mg IV/OD
3. INJ. ZOFER 4 mg IV SOS
4. INJ TRAMADOL 1 amp in 100 ml NA IV BD
5. INJ BUSCOPAN 22 cc IV/SOS
6. TAB PCM 650 mg PO/TID
7. GRBS 6 th hourly
8. TEMP and I/O charting










Comments

Popular posts from this blog

A CASE OF 65 YEARS OLD FEMALE WITH ACUTE INTERSTITIAL PANCREATITIS

55 yr old male with deviation of mouth since 2 days and right knee pain since 2 days

Case of 42 year old female with diabetic ketoacidosis associated with left foot cellulitis